Зубні пломби
Для чого людям потрібні пломби?
Пломби потрібні, коли карієс утворив дірку в зубі.
Якщо її не полікувати, бактерії будуть розвиватися в зубі, що приведе до втрати зуба.
Тому доцільно робити все, щоб уникнути карієсу (прочитайте наш розділ, пов'язаний з профілактикою карієсу).
Процедура пломбування:
Спершу ми очистимо з зуба карієс та заповнимо дірку пломбою, яка підходить для Вас.
Різновиди пломб
Є два основні типи реставраційних матеріалів, які застосовують у стоматології. Це - композитні білі пломби та порцелянові вкладки (пломби).
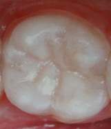
Біла композитна пломба
Ці пломби одинакові по кольору з природніми зубами.
Однак, недоліком у таких пломб є те, що вони можуть швидше стиратися, ніж навколишні природні зуби.
Перевагою є те, що композитну пломбу легко відновити.
Порцелянові пломби
Правильний стоматологічний термін - порцелянова вкладка, вона виконує ту ж функцію, що й пломба.
В нашій уяві порцеляна не надто міцний матеріал, але це, насправді, не так.
Порцелянові вкладки, що використовуємо у стоматології, зроблені з дуже міцної суміші польового шпату та кварцу, і коли вони встановлюються на зуб,є дуже міцними.
Ми не можемо показати фотографію вкладки, бо вона зливається з природнім зубом так добре, що Ви не можете побачити її.
Одним з недоліків порцелянової вкладки є те, що вона встановлюється не одразу.
Адже біла композитна пломба може бути виготовлена в межах одного візиту до стоматолога.
Порцелянові пломби виготовляються індивідуально в лабораторії.
Це означає, що як тільки ми заберемо зіпсовані тканини з Вашого зуба, ми знімемо його відбиток, і результат скеруємо до техніка в лабораторію. Технік виготовить порцелянову вкладку, яка точно відповідає порожнині у вашому зубі.
Поки виготовляється керамічна вкладка, ваш зуб запломбуємо тимчасовою пломбою.
Процес виготовлення вкладки - 3-4 дні, та служитиме вона роками.
Догляд за пломбою
Усунення карієсу є травматичним для зуба, тому старайтесь не їсти тверду їжу (сухарики) протягом декількох днів після пломбування.
Якщо ви маєте порцелянові вкладки, процес цементування займе кілька годин, але ми радимо уникати твердої їжу , навіть через кілька днів після лікування.
В наші клініці СімDент ми пропонуємо різні пломби, які б відповідали Вашим естетичним вимогам.
Найкращий спосіб, аби дізнатись деталі – це домовитися про візит.


